VIVO
Enfermedades
Antonio Gasalla: Marcelo Polino detalló la triste realidad del actor
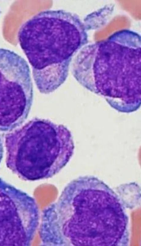
Leucemia mieloide crónica: qué es y cuál es su tratamiento
Agregar sal a las comidas aumenta el riesgo de enfermedad renal crónica
¿Qué es la leucemia mieloide, la enfermedad que sufre Wanda Nara?
Leucemia: síntomas, efectos y prevención
Araceli González contó qué consecuencias le causó el SIBO a su salud
Hipercalcemia de qué se trata y cómo afecta nuestra salud
Streptococcus pyogenes: "Una muerte por día y suben los casos"
Día Internacional de la Microtia: una afección auditiva que afecta a los más chicos
Gesto por la vida: el Estado italiano interviene por una bebé de 8 meses
La importancia de la higiene bucal para evitar enfermedades mentales
¿Por qué se provoca la tos y cuándo es necesario ir al médico?
Cargar más
INICIO
Política