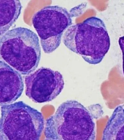
Leucemia mieloide crónica: qué es y cuál es su tratamiento

El hematólogo, Miguel Castro Ríos, habló sobre la enfermedad y el tratamiento para traer luz ante tanta oscuridad, que hay cuando se habla de leucemia 

3 Enero de 2024 - 17:39

entrevistar-al-hematologo-miguel-castro-rios-quien-hablo-de-la-enfermedad-y-el-tratamiento-para-traer-luz-ante-tanta-oscuridad-y-miedo-que-hay-cuando-
entrevistar-al-hematologo-miguel-castro-rios-quien-hablo-de-la-enfermedad-y-el-tratamiento-para-traer-luz-ante-tanta-oscuridad-y-miedo-que-hay-cuando-

3 Enero de 2024 / Ciudadano News / Sociedad

Luego de que Wanda Nara compartió en sus redes sociales por primera vez el certificado, donde confirmaba el tipo de leucemia que tiene, El Interactivo (lunes a viernes, de 12 a 14, por Facebook y YouTube de Ciudadano.News) decidió entrevistar al hematólogo, Miguel Castro Ríos.

El especialista médico habló sobre la enfermedad y el tratamiento para traer luz ante tanta oscuridad y miedo, que hay cuando se habla de leucemia. 

La modelo y empresaria compartió hace unos días el certificado, donde indicaba que se está realizando un tratamiento por leucemia Mieloide Crónica.

El comunciado, que lleva la firma del doctor Miguel A. Pavlovsky de la Dirección Médica de FUNDALEU señaló: "La paciente Wanda Solange Nara desde el mes de julio de 2023 se encuentra en seguimiento en FUNDALEU por una Leucemia Mieloide Crónica con respuesta satisfactoria al tratamiento administrado. Realiza estudios periódicos en Argentina y Turquía para el control de su enfermedad”. https://ciudadano.news/sociedad/ser-tierno-y-conocer-mis-emociones-me-hace-menos-masculino

El hematólogo, Miguel Castro Ríos, fue consultado sobre la patología y manifestó que "no está dentro de las enfermedades raras. Pero es una enfermedad que tiene una relativa frecuencia, que por suerte la sobreviva de esta enfermedad y con muy buen estado general, es prácticamente igual a la de cualquiera de nosotros". 

"Así que es una enfermedad, gracias a los adelantos de la medicina, se ha encontrado una droga desde el 2005, que prácticamente la cura. Y uno tomando esa pastilla todos los días, la enfermedad puede pasar 10, 15, 20 años en revisión.

Se han hecho mejoras, han aparecido drogas de la familia de la que se usan para la leucemia y es uno de los mayores adelantos de la medicina oncológica", detalló el especialista.

Por lo cual, Miguel Castro Ríos remarcó que "con una simple pastilla, uno puede mantener en remisión de la enfermedad por toda una vida y prácticamente el 98% de las personas con la enfermedad, la leucemia mieloide crónica permite llevar una vida totalmente normal".

"Así que es una, dentro de las leucemias, no diría que es una bendición, pero es un castigo suave que uno puede tratar y manejar con mucha efectividad a esta enfermedad", sostuvo.

Últimas noticias