La mezcla mágica, casera y definitiva para quitar el sarro de los dientes
La salud empieza por la boca. Y hay maneras de que esa salud también muestre una hilera de dientes más blancos.
Por Ciudadano.News
28 Noviembre de 2024 - 18:46
28 Noviembre de 2024 - 18:46
28 Noviembre de 2024 / Ciudadano News / Sociedad
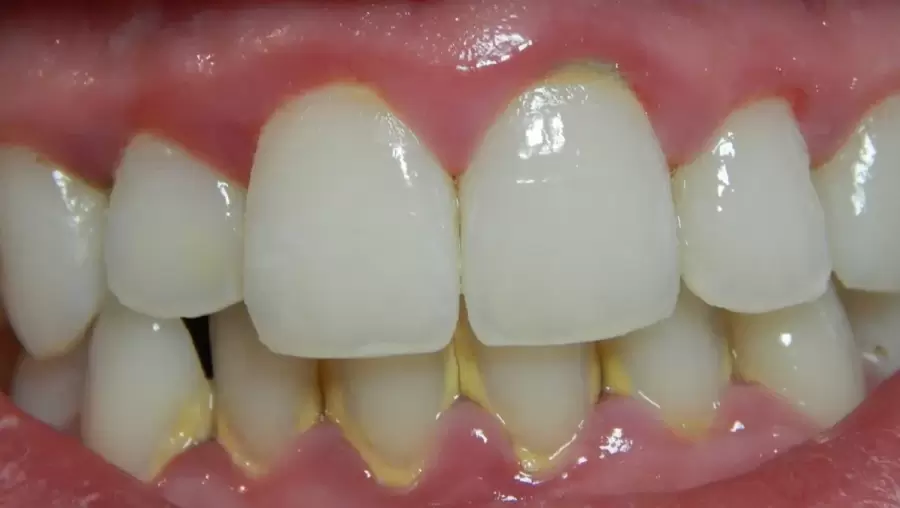
Hay cosas que, indefectiblemente, acompañan al paso de los años. Dolores diversos, malestares, complicaciones estomacales: son el precio que muchos parecemos pagar por el solo hecho de vivir. Y la salud bucal no está exenta de este camino: el sarro suele acumularse en los dientes, y nuestra sonrisa ya no es tan blanca como antes.

Gran cantidad de gente recurre a una variedad de productos farmacéuticos y tratamientos caros para eliminar esta afección. Surge por un cuidado deficiente de los dientes, que puede provocar inflamación e irritación de las encías (ni hablemos del mal aliento).

Para eliminar el molesto, peligroso y antiestético sarro de los dientes, y llegar a tener una sonrisa blanca de verdad, existe un truco casero que se destaca por sus beneficios. Y los elementos para crear esta solución están al alcance de cualquier casa.
Antes que nada, deberemos dirigirnos a la cocina: allí, seguramente, encontraremos bicarbonato de sodio y sal. Es una mezcla muy conocida y usada por su eficacia en el mantenimiento de una buena higiene bucal.
Lo primero que deberemos hacer es mezclar el bicarbonato de sodio con la sal, y allí incorporar agua, para armar una pasta. Luego, apoyar el cepillo de dientes mojado sobre la mezcla, y cepillar sobre los lugares con mayor acumulación de sarro.

Lo siguiente es enjuagar bien la boca con agua, para eliminar los excedentes de dicha pasta.
Hay que recordar que este método casero debe aplicarse con regularidad, ya que su uso inadecuado o excesivo puede provocar diversos efectos secundarios. Lo más recomendable es utilizar la pasta dos veces por semana, para no debilitar el esmalte y generar sensibilidad dental.
La acumulación de sarro en los dientes puede provocar varias consecuencias negativas para la salud:
-Daño de las encías. Puede generar inflamación, sangrado, retracción y cambio de color. Esto puede llevar a enfermedades como la gingivitis o la periodontitis.

-Mal aliento. Las bacterias acumuladas generan compuestos sulfurados volátiles, que alteran la frescura del aliento.
-Debilitamiento del esmalte. El esmalte es una parte esencial del diente. El bicarbonato, junto con la sal, puede debilitar la capa de esmalte de dientes y muelas.
-Enfermedades conectadas. Diabetes, enfermedades cardiovasculares y artritis, entre las más comunes.