VIVO
India
Video | Mamá leopardo dió a luz en una choza y llevó a sus crías a la selva
INDIA | Palazos para quienes no cumplan la cuarentena
Un juego mecánico cayó en un parque de diversiones y mató a dos personas
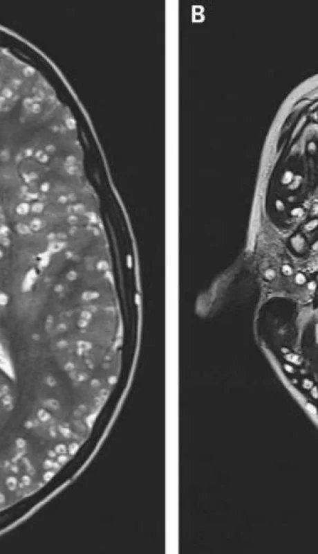
Cisticercosis: murió un joven que tenía huevos en el cerebro
Menos 'ojo por ojo' y más Cachemira
Crece la tensión bélica entre India y Pakistán después de un bombardeo
Argentina venderá huevos, limones, semillas y harinas a la India
Macri comienza en Nueva Dehli su visita de Estado a la India
Macri llegó a Nueva Dehli en su visita de Estado a la India
El estudiante más nerd y la madre más irresponsable juntos en moto
Video: Tomó veneno, filmó su suicidio y se lo envió a su extorsionador
INICIO
Política