VIVO
huesos
Un detalle fundamental
Crimen de Coghlan: ¿cuál es la pista clave que complica al sospechoso?
Hallazgo macabro
Tenebrosas cartas del hombre que convivió cuatro años con el cadáver de su madre
El Interactivo
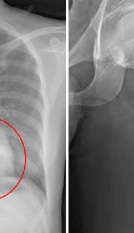
Osteoblastoma: síntomas, estudios y tratamiento recomendado
Adiós dolores
Qué es el colágeno y cómo ayuda a tu cuerpo
Hábitos saludables
Huesos de acero: claves para fortalecerlos con el paso del tiempo
SECCIONES
Últimas Noticias
ANSES
Jubilados y Pensionados
Asignación Familiar por Hijo (SUAF)
Asignación Universal por Hijo (AUH)
Planes Sociales
Pensión No Contributiva
Gaming
Lanzamientos
Review gamer
Actualizaciones
Esports
Economía
Política
Judiciales
Quiniela
Otro punto de vista
Virales
Internacionales
Policiales
Santa Fe
Córdoba
Provincia de Buenos Aires
Ciudad Autónoma de Buenos Aires
Mendoza
Deportes
Entretenimiento
Show
Eventos
Cartelera
Estilo de Vida
Desayuno Real