Nuevas posibilidades

La epilepsia farmacorresistente ya puede ser doblegada gracias a la tecnología

Una nueva técnica de resonancia magnética permitió a los médicos identificar problemas en el cerebro anteriormente indetectables. Una especialista explicó en El Interactivo detalles de la enfermedad.

Por Carlos Fernández Giménez

25 Marzo de 2025 - 15:54

Las personas con epilepsia que reciben tratamiento pueden llevar una vida normal.
Las personas con epilepsia que reciben tratamiento pueden llevar una vida normal. web

25 Marzo de 2025 / Ciudadano News / Sociedad

Gracias a una nueva tecnología mejorada para la realización de resonancias magnéticas, mejoró la recuperación de pacientes que padecen de epilepsia farmacorresistente, a través de una cirugía, luego de detectar pequeñas diferencias en el cerebro.

Así fue revelado por un estudio realizado en el Hospital Addenbrooke de Cambidge, en el Reino Unido, donde lograron practicar cirugías a pacientes con el fin de curar la afección con un alto nivel de éxito con lo cual la nueva tecnología produjo esperanzas para miles de epilépticos con farmacorresistencia.

María Vaccarezza, neuropediatra, indicó en el magazine de Ciudadano News, El Interactivo: "Ante todo recordar que la epilepsia, para la gente que no sepa, es una enfermedad neurológica crónica frecuente y que se caracteriza por la repetición de convulsiones y crisis epilépticas". 

Consejos para saber cómo actuar ante una crisis epiléptica.
Consejos para saber cómo actuar ante una crisis epiléptica.

"En el 70% de estos pacientes funciona muy bien la medicación, tienen buena respuesta y muchos de ellos se curan, sobre todo si empieza desde el inicio después de un tiempo de tratamiento. Las estadísticas mundiales hacen blanco en los pacientes en la cuales la medicación no funciona, que son alrededor de un 30%", dijo. 

Y añadió: "Eso se llama epilepsia farmacorresistente, que son epilepsias que dan mucho trabajo y por las que hay que probar distintas medicaciones y terapias. Dietas especiales, cirugías, esos son los pacientes más complejos".

"Primero están las opciones farmacológicas. La definición de epilepsia farmacorresistente es cuando uno intenta con dos fármacos y no funcionan. Pero hay 20 fármacos disponibles que uno puede ir usando. Pero cuando sabemos que dos o tres fármacos no funcionaron, ya la posibilidad de que un nuevo fármaco funcione es muy muy baja", explicó. 

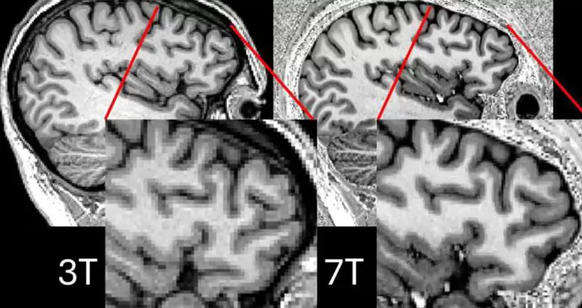
La resonancia magnética de 7T identifica lesiones cerebrales que antes eran indetectables.
La resonancia magnética de 7T identifica lesiones cerebrales que antes eran indetectables.

Epilepsia farmacorresistente y la cirugía correctiva

Indicó que, "entonces, ahí están las otras opciones que se llaman tratamientos no farmacológicos y ahí está el estimulador vagal. Que es un marcapaso que se coloca en el nervio vago y eso tiene un efecto antiepiléptico muy bueno". 

"La terapia cetogénica es un tratamiento a través de la alimentación o la cirugía de la epilepsia en el porcentaje de pacientes que tengan indicación de epilepsia clara", dijo.

Señaló que, "a veces, uno plantea la cirugía, una neurocirugía, como lo es la de la epilepsia. Por eso, muchas veces todas las opciones, hasta que el paciente sea más grande o la familia se decida, también es un paso intermedio". 

"En general, si es para una cirugía, los neurólogos indicamos la cirugía porque el pronóstico es mejor a largo plazo. Es decir, el paciente se puede curar e incluso la epilepsia puede desaparecer. A veces no es tan fácil acceder a un centro de cirugías, no en cualquier hospital tiene acceso", admitió.

Aconsejó que, "lo primero que hay que saber es que una crisis epiléptica es algo que empieza y termina en un tiempo determinado que suele ser de 1 a 3 minutos. Lo máximo que llamamos convulsión es esa pérdida de la conexión, de caída al piso, sacudida del cuerpo". 

Diferencias de 3T y 7T del mismo participante (Créditos:Simon Jones, Universidad de Cambridge).
Diferencias de 3T y 7T del mismo participante (Créditos:Simon Jones, Universidad de Cambridge).

"Esa es la convulsión. La que cualquier persona que lo ve en la calle puede decir esto es una convulsión. En las crisis pueden estar las ausencias, en las cuales los pacientes se quedan tildados. O a veces con crisis que nosotros llamamos focales que, por ejemplo, son sacudidas de un brazo, sacudidas del labio, eso es una crisis localizada", marcó.

Y amplió: "Incluso a veces los síntomas son sensoriales. El paciente lo siente, pero uno de afuera no ve nada. Incluso son sensaciones de miedo o pánico y se confunden con ataques de pánico. Entonces, cualquier síntoma que se repita en el tiempo, que empiece y termine en un tiempo acotado, puede ser síntoma de una crisis epiléptica".

Algunos epilépticos pueden anticipar el ataque convulsivo

"El aura quiere decir que la epilepsia empieza en una zona del cerebro, supongamos que empieza en el óvalo temporal que están las estructuras que tienen que ver con el miedo. Entonces, el paciente puede sentir una sensación de miedo y angustia", apuntó. 

Consideró que, "ese miedo, esa parte está ubicada en el óvalo temporal, cuando esta descarga pasa a otro lado el cerebro hace la convulsión en todo el cuerpo. Y ahí el paciente se desconecta. Pero los pacientes que saben de esa aura y que van a tener la crisis pueden tener ciertos recaudos en ese momento".

"La epilepsia farmacorresistente tiene que ser manejada por neurólogos o un equipo. Cuando hay un paciente que no funciona con uno o dos fármacos, ya hay que pensar que lo tiene que manejar gente especializada", aclaró. 

Y concluyó: "Porque hay muchas opciones terapéuticas, en general los equipos que vemos la epilepsia farmacorresistente trabajamos en el Hospital Italiano, nosotros ofrecemos todas las opciones terapéuticas importantes".  

Últimas noticias