Precaución

¡Protege a tu familia de la triquinosis!

La enfermedad que se transmite a través de los parásitos en la carne de cerdo puede ser fatal. Por eso es importante tener en cuenta distintos consejos.

Ciudadano.News

Por Ciudadano.News

5 Noviembre de 2024 - 17:29

Triquinosis
Triquinosis Web

5 Noviembre de 2024 / Ciudadano News / Salud

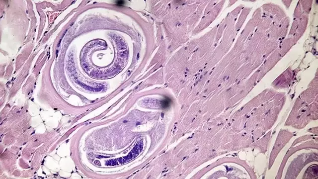
La triquinosis es una enfermedad parasitaria que afecta a los seres humanos tras el consumo de carne contaminada, especialmente de cerdo, aunque también de animales salvajes como jabalíes y pumas. Según el Ministerio de Salud de la Nación, el agente causante es un parásito con aspecto de gusano que se instala en los músculos de los animales infectados, formando larvas capaces de transmitir la infección si se consumen sin una correcta cocción.

Vías de contagio y fuente principal en Argentina

La transmisión a las personas ocurre accidentalmente al ingerir carne o productos cárnicos mal cocidos o crudos que contienen larvas del parásito. En Argentina, la fuente principal de infección es el cerdo doméstico, aunque el consumo de carne de caza también representa un riesgo, particularmente en áreas rurales donde los controles sanitarios suelen ser limitados.

Síntomas y detección temprana

Los síntomas de la triquinosis pueden variar en intensidad y aparecer días después del contagio, incluyendo fiebre, dolor muscular, diarrea, vómitos, hinchazón en los párpados, y picazón. Estos signos requieren atención médica urgente, ya que el tratamiento temprano puede limitar el avance de la enfermedad, que puede tornarse complicada de tratar una vez que el parásito invade los músculos.

Tratamiento y prevención

El tratamiento es efectivo solo en la fase inicial, antes de que el parásito penetre los músculos. Existen fármacos que combaten la infección temprana, mientras que los analgésicos ayudan a mitigar el dolor en etapas avanzadas. En casos graves, los quistes pueden persistir en el cuerpo durante años. La prevención es, por lo tanto, crucial para evitar la enfermedad, y las recomendaciones incluyen:

  • Cocción adecuada de la carne: Cocinar carne de cerdo y derivados a una temperatura interna de 71°C hasta que pierda el color rosado. Técnicas como el salado o ahumado no son suficientes para eliminar el parásito.
  • Compra segura en comercios habilitados: Es fundamental adquirir chacinados y embutidos en comercios reglamentados, revisando que la etiqueta del producto indique origen, lote, y registros sanitarios (RNE y RNPA). La venta de productos cárnicos en la vía pública está prohibida por cuestiones de salubridad.

Triquinosis

Medidas en zonas rurales y criaderos

Para reducir el riesgo en zonas de cría de cerdos, se deben cumplir normas estrictas de sanidad y alimentación. Los productores deben tener su Registro Nacional Sanitario (RENSPA) otorgado por SENASA, y seguir protocolos específicos:

  • Instalaciones y alimentación: Los cerdos deben criarse en ambientes controlados, libres de roedores y con alimentos seguros. Alimentarlos con desperdicios o restos de comida no tratados puede ser fuente de infección.
  • Control de roedores y fauna salvaje: Es esencial mantener los alimentos de los cerdos almacenados de manera que se evite el acceso de animales silvestres y roedores que puedan transmitir el parásito.
  • Faena y análisis veterinario: En el caso de realizar la faena de cerdos, jabalíes o pumas, ya sea en un matadero autorizado o a nivel doméstico, se debe solicitar un análisis veterinario de muestras del diafragma (entraña) para descartar la presencia del parásito. Este procedimiento asegura la salubridad del producto final.
  • Disposición de cadáveres: Los cadáveres de animales infectados deben ser eliminados para evitar que sean consumidos por otros animales, reduciendo así el ciclo de transmisión.

Si se detecta el parásito en alguna res, es necesario destruir el cuerpo entero para evitar contagios. Estas medidas preventivas y la vigilancia sanitaria resultan fundamentales para proteger tanto a la población humana como al ganado y fauna de producción.

Últimas noticias