Detectaron en Argentina el primer caso sospechoso de viruela del mono

Se trata de un hombre de Buenos Aires que fue atendido en un centro de salud porteño y tiene antecedentes de un reciente viaje a España

22 Mayo de 2022 - 21:50

viruela-jpg.
viruela-jpg.

22 Mayo de 2022 / Ciudadano News / Nacionales

El Ministerio de Salud de la Nación informó este domingo que se encuentra en investigación el primer caso sospechoso de viruela del mono en la Argentina. Se trata de un paciente de Buenos Aires que regresó hace pocos días de España.

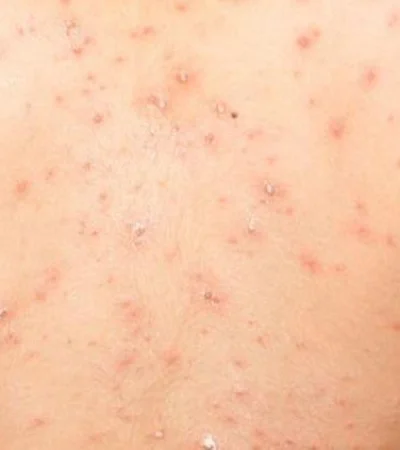
De acuerdo con la primera información, el paciente presentó síntomas compatibles con viruela símica por cuanto presenta pústulas en distintas partes del cuerpo y fiebre.

El paciente, que se encuentra en buen estado general, asilado y recibiendo tratamiento sintomático, tiene antecedente de viaje a España, país donde estuvo del 28 abril al 16 de mayo 2022.

"Para realizar el seguimiento e investigación se realizó la toma de muestras para diagnóstico etiológico, las cuales están siendo analizadas en el Laboratorio Nacional de Referencia INEI- ANLIS Dr. Carlos G. Malbrán", indicó Salud.

Mientras se aguardaban los resultados se conformó una mesa de trabajo con la provincia de Buenos Aires y Ciudad Autónoma de Buenos Aires. El objetivo es coordinar las acciones clínicas, diagnósticas y epidemiológicas con el fin de confirmar o descartar el caso, dar adecuada atención clínica e implementar todas las medidas de control de foco para evitar una posible transmisión.

Cabe destacar que desde la notificación a nivel internacional de los primeros casos de esta enfermedad en países no endémicos se conformó en el Ministerio de Salud de la Nación, un equipo de trabajo con el objetivo iniciar la vigilancia del nuevo evento y generar las recomendaciones específicas para los equipos de salud y la población. https://ciudadano.news/vida/por-que-esta-ganando-terreno-la-viruela-del-mono-sintomas-y-transmision

La viruela del mono en el mundo

El sábado, la Organización Mundial de la Salud (OMS) reportó la notificación de 28 casos confirmados, por laboratorio y 12 casos sospechosos de viruela símica en 12 países no endémicos (Australia, Bélgica, Canadá, Francia, Alemania, Italia, Países Bajos, Portugal, España, Suecia, Reino Unido y Estados Unidos).

En estos casos aún no se ha confirmado antecedente o nexo con áreas endémicas. El alcance de la transmisión comunitaria no está claro aún en esta etapa y, por tanto, existe la posibilidad de identificar más casos. Sin embargo, cabe mencionar que se considera que el virus de la viruela símica tiene una transmisibilidad moderada entre humanos.

Con información de Agencias de Noticias

Últimas noticias